
Big toe gout
November 18, 2019
Haglund’s Syndrome
November 18, 2019Stress Fractures
Of the many injuries potentially sustained by athletes in sports, a stress fracture is perhaps a common culprit. Getting treated for a stress fracture requires a holistic approach, patience and a focused strategy.

What is a stress fracture?
A stress fracture or syndrome is a crack, break, or even severe bruising (oedema )within a bone. It occurs when force is persistently and repeatedly applied to a bone. One of the major causes of a stress fracture is overuse or repetitive activity, a practice that is common in athletes who participate in contact sports or endurance running. Other associated risk factors include a rapid escalation in the training program, improper footwear and training gear or underlying endocrine or hormonal abnormalities.
Stress fractures are common in the bones of the foot and ankle and this is likely because we continually exert force on them during activities like standing, walking, jumping, and running. If a stress fracture typically occurs, the bones do not shift position; they simply crack on one surface.
Causes of a stress fracture
When bones of the foot or ankle are involved in a new activity that can bring them stress, for example, a new exercise routine, they may have trouble adapting. As a result of this, they can crack. An example of this is a half marathon runner who starts training, albeit rapidly, one month before his/her run.
Other causes of stress fractures include:
• Moving from one surface to another, for example, changing position from a soft surface to a harder surface repeatedly.
• Some foot problems like tendonitis, bunions, or blisters can affect the manner at which the foot hits the ground. This is referred to as an adaptive gait pattern.
• Unsuitable footwear such as using worn-out, too stiff, or too flimsy shoes that have lost their shock-absorbing power may lead to a stress fracture.
• Change in activities or exercise, for instance, increased intensity of training or its intensity or job activities that requires standing and walking without time for a break.
• Diseases like osteoporosis or osteomalacia can decrease bone density and strength rendering them susceptible to fractures. This is referred to as a pathological fracture.
• Long term medications, in particular steroids or some rheumatoid medication, can make you more prone to a stress fracture.
• Muscles and other soft tissues of the bone become fatigued as a result of the persistent impact and transfer the effect eventually to the bone.
• Low levels of vitamin D and calcium can weaken the bone
• Poor training techniques or improper training gear during exercise
Bones in the foot and ankle affected by a stress fracture
The bones that are commonly affected in the foot and ankle include:
• The heel bone.

• The metatarsals.

• The tibia and fibula.

• The navicular, a bone beside the ankle.

Symptoms of a stress fracture in the foot and ankle
The commonest symptom of a stress fracture is pain. It develops gradually and typically gets worse with continued activity.The pain tends to persist in areas of the bones affected and when you touch the specific area where the bone is cracked or broken.
Other symptoms of a stress fracture are:
• Increased intensity of pain during normal daily activities.
• Bruising of the areas around the bone affected.
• Areas of the fracture seem tender to touch.
• Reduced pain during rest. Walking on hard floors may be more sore.
• Swelling around the site of the stress fracture.

Diagnosis of a stress fracture
During a medical examination, the doctor evaluates the risk factors that are responsible for a stress fracture in the patient.
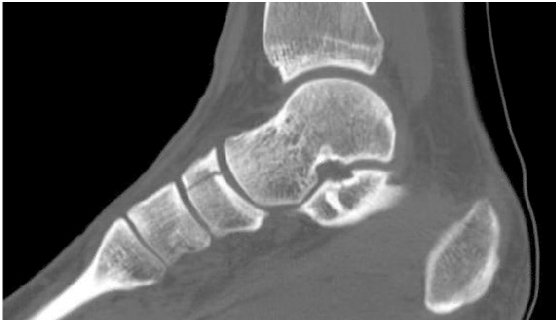
The most common method used to confirm a stress fracture is an X-ray of the affected segement. A stress fracture can sometimes not been seen on regular x-rays or fail to appear after the initial few weeks of pain. Hence, a computed tomography (CT) scan or magnetic imaging (MRI) will be ordered instead.

Treatment of stress fracture
The primary purpose of getting treatment for a stress fracture is to relieve the pain and ensure the fracture heals so that you can resume your daily activities. Adhering to your doctor’s treatment plan will assist in a quicker return to activities and prevent future complications of the same injury.
The treatment administered depends on the location of the stress fracture and its severity. Nonsurgical treatments are prescribed in most cases of a stress fracture.
Nonsurgical treatment
Adopt the RICE protocol. RICE stands for Rest, Ice, Compression, and Elevation.
• Rest – Stay away from weight-bearing activities and if for any reason, you have to bear weight, ensure you put on a supportive shoe.

• Ice-Make sure to ice the area of injury after physical activity to reduce the swelling. Apply cold packs for about 20 minutes at a time, and do this several times a day.

• Compression – Wrap the area of the injury with a compression bandage to prevent further swelling.

• Elevation – Raise the area of the injury and support with a soft object like a pillow. Do this whenever seated or recumbent.
Non-steroidal anti-inflammatory drugs (NSAIDs) like ibuprofen or anvil can help to suppress pain and swelling.
Casting – Stress fractures in some areas such as the navicular, talus, or fifth metatarsal bones take a long time before it heals. To ensure quick healing , a cast is applied to your foot to keep your bones in a fixed position and remove the stress of the affected leg.

Protective footwear – You may need protective footwear to reduce stress on your foot and ankle. This can sometimes be achieved with customized insoles but may sometimes requires a protective boot.

Surgical treatment
Some cases of stress fractures require surgery to ensure a proper healing process. This surgery may require internal fixation with plates or screws and sometimes bone graft.
Recovery
Recovery time from a typical stress fracture usually takes 3 months. However, more severe stress fractures may require an extended period before it heals. It is necessary to allow the injury to heal completely before returning to activity. This is because the injury may aggravate if you resume activity too soon and extend the time of the healing process.
Prevention of a stress fracture
To protect your ankle and foot from a stress fracture, here are some important precautions.
• Use proper sports footwear accustomed for the activity involved
• Don’t overdo any training activity
• Maintain a healthy diet and get adequate rest ( fatigue is dangerous !! )
• Train in a regular and graduated fashion to allow the body to acclimatize
• Stop your activity if swelling or pain persists



